46

Submitted by uniprep on Thu, 10/20/2022 - 18:27
Imagine
.
Text
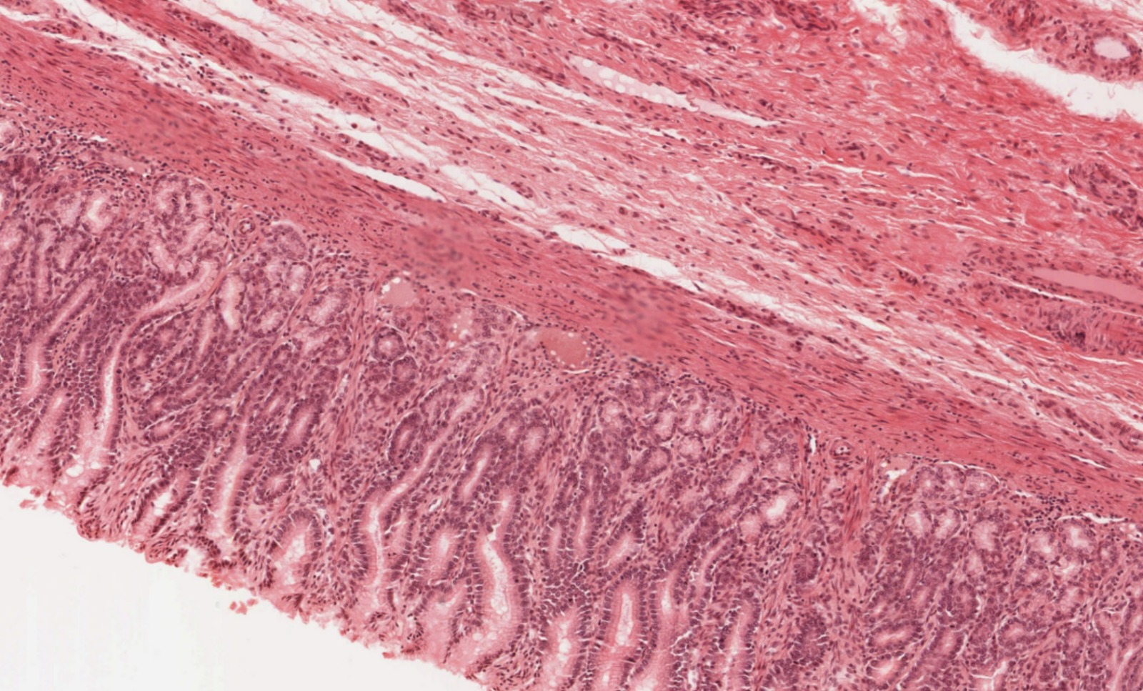
Stomac
Celule mucoase
Cripta gastrica
Glande pilorice
Musculara mucoasei
Epiteliu cilindric simplu
Submucoasa
Tesut limfoid difuz
Materie
explicatii
Mucoasa gastrica este formata din epiteliu cilindric simplu si lamina propria. La nivelul regiunii pilorice, criptele gastrice sunt lungi (aproximativ jumatate din grosimea mucoasei), iar glandele gastrice sunt scurte, sinuoase, cu lumen larg si contin majoritar celule mucoase. In plus, putem observa fundul glandei gastrice deseori mai palid colorat, datorita prezentei celulelor mucoase la acest nivel.